 
															


Dylan always wanted to brighten up his smile and was also never happy with an old crown in the front of his mouth from a traumatic event…
He decided to do porcelain veneers on the top and bottom and the result was amazing. Patient loved the end result.





John was looking to enhance his smile after Invisalign treatment and we decided to upgrade it with ten top porcelain veneers. Result came out phenomenal and patient was very happy



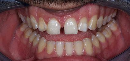
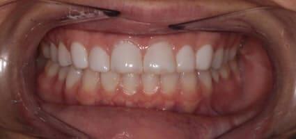
The patient was not happy with his small teeth and gaps in between. Smile was upgraded with porcelain veneers. And although I always prefer to extend the smile further than 6 front teeth, the result made the patient really happy.





Laura came in looking to improve her smile. She wasn’t happy with the look of her teeth and was ready to change it. Most of her top teeth were patched up and worn down. Upon examination we decided to do eight porcelain veneers to enhance the look of her teeth and smile. Laura’s make over resulted in a beautiful, healthy looking smile and one happy patient.





Sammy’s biggest concern when he came in was fixing his top front teeth. He had fallen and broke his two front teeth. Sammy also wasn’t happy with his lower teeth gaps and wanted to improve his smile. Records were taken and a treatment plan was created to do ten porcelain veneers on top and Invisilign on the lower teeth to close his gaps. Treatment was completed and his result were stunning. Sammy now has a smile that is full of confidence.





Debbie came to office looking to get out of pain and at the same time improve her smile. Patient shared with us that she has been in pain on her top teeth for a very long time. After comprehensive examination we determined that there are some infected teeth that need to come out and then decided to restore her top teeth with porcelain restorations.





Jonathan came looking for help because he wasn’t happy with his smile. He told us he is embarrassed to smile and wanted to know what can be done to improve it.





Karlee came to us trying to improve her smile before her wedding. Karlee had old bonding’s that she wasn’t happy with and also wanted to know if anything can be done about her gummy smile. Spoke to patient about some options and decided to do non invasive laser gum lift and porcelain veneers to improve the smile and the way Karlee smiles. Ten veneers were placed together with gum recountouring. Patient was amazed with a result and was really happy to have beautiful smile for her wedding.





Patient come in not being happy with old bonding on her front tooth and also wanting to brighten up her smile before her wedding. Pictures were taken and we went over patient options and decided to do a conservative gum lift to make her smile more symmetrical and then have conservative porcelain veneers to brighten up her smile. Work was completed and patient was extremely happy with a result….





Patient came in wanting to improve her smile. Patient stated that she has a missing tooth and overall not happy with aesthetics of her smile. Spoke to patient about her options and she decided to go for front dental implant and then porcelain veneers to improve her smile. Implant was placed and then smile makeover was completed with veneer placement. Patient was thrilled with a result and now wants to do her lower teeth…





Yuri came to office complaining of his front teeth breaking down. Patient was concerned that if he doesn’t address it he will loose his front teeth. Comprehensive exam was performed and determined that he is a severe grinder and because of that his teeth are breaking down. Spoke to patient and decided to address his grinding habits, rebuild his bite and give him long lasting protection and beautiful smile. With a help of bite technology we were able to reset his occlusion and rebuild his teeth to a better physiologic position. We addressed his broken down teeth with porcelain veneers and were able to give Yuri his confident smile.





Patient came wanting to improve her smile. Patient wasn’t happy with shape of her front teeth and small side teeth. Discussed all the options with her and decided to proceed with porcelain veneers to improve shape and color of her top teeth. Smile design was discussed and mock up created for patient evaluation. Ten conservative veneers were made. Patient couldn’t believe her eyes when she looked in the mirror. It completely changed her face and gave her the smile she was looking for….




Patient came in unhappy with the appearance of her smile. She disliked that so many of her teeth were discolored. She had previous restorations that didn’t match, making her smile look uneven. She was also unhappy with the short, square shape of her teeth. We placed 8 porcelain restorations to brighten and lengthen her teeth. She was very happy and excited about the results. Not only does she love how bright and well-proportioned her teeth are, she loves that they look so natural.



Assel came in for cosmetic consultation. Being self-conscious of her teeth prevents her from smiling. Patient was not happy with the fact that she only showed her front teeth and wanted to widen her smile. Assel told us that she always dreamed of big, healthy smile. Patient went through comprehensive examination, digital smile design was performed. We talked to Assel about gum recountouring for more even smile and then very conservative porcelain veneers to enhance her smile. Temporary mock up veneers were placed and Assel smile evaluated. Patient lips, eyes, skin tone were taken into effect to make her veneers look natural. With ten veneers we were able to give Assel a wide and beautiful smile. Assel is thrilled with a new look and states that her new smile will give boost in her modeling career.





Patient came to our office seeking sleep apnea treatment and cosmetic dentistry. She decided to go through with the bite rebuilding phase by using a neuromuscular orthotic after learning about her bite issues. After two months of treatment, she felt significant relief in her facial tension and felt better overall bite situation. While using her orthotic, she also used a temporary sleep appliance to help her with sleep apnea. The orthotic helped her with facial features through a non-surgical facelift, and she went ahead with cosmetic treatment. Porcelain veneers were used on the front and back teeth to restore lost and worn down tooth structure, and at the same time, rebuild her bite according to the orthotic. She was ecstatic with the result of her smile makeover, and the sleep appliance that was made to control her sleep apnea. Her life has been forever changed with her sleep apnea now under control.





Patient was very unhappy with the color, the shape, and the gap of his teeth. He didn’t smile at all. He wanted a beautiful smile and that’s exactly what we gave him. The smile he desired! We placed ten porcelain restorations to give him his life changing smile. He is beyond happy and loves how natural his beautiful smile looks.





Patient came in complaining of bite issues, not having a comfortable bite and also headaches and sleep apnea. Patient was also interested in enhancing her smile. Marja went through bite rebuilding phase first through an orthotic therapy and then when she was comfortable with the way her teeth come together and relief of facial pain and headaches, Marja had porcelain veneers placed to give her a beautiful smile. Sleep Apnea was controlled through a oral sleep appliance.





Liang came to us looking to improve his smile. He told us that for a long time he was not happy with the way his teeth looked and that he was embarrassed to smile. Liang also told us that he had Invisilign treatment but was still not happy with the result. Diagnostic work up was performed that included evaluation of teeth, gums and bite. Patient had a history of gum disease and required gum therapy to get that healthy. Liang also had a history of severe grinding that caused bone loss and tooth destruction. After thorough planning a smile design fabrication treatment plan was formulated that included gum work, some extractions and rebuilding bite phase to create a proper foundation for cosmetic work. To complete, the make over porcelain veneers and crowns were fabricated to enhance Liang’s smile. Upon completion the patient couldn’t take his eyes off the mirror. His dream of a beautiful smile finally came through.





Natalie came to our office seeking to improve her smile. She was not happy with an overall shape of her teeth and also gap between her front teeth. Patient was interested in enhancing her smile with porcelain veneers. Extensive preparation and discussion went into creating a smile design that fits patient face, lips and personality. Ten minimally invasive veneers were prepared and inserted. Natalie is extremely happy with a result and told us that her new smile gave her more confidence to smile and be herself.



Phillip sought our help to get his teeth and smile healthy and beautiful. Phillip had a phobia of dentist and unfortunately neglected his teeth for a long time. Upon examination patient presented with multiple broken down teeth, cavities and gum disease. After extensive conversation and smile design a treatment plan was formulated that included getting patient gums healthy, removal of broken down teeth, restoring spaces with dental implants, orthodontics to get teeth straight and then porcelain veneers to give Phillip the smile he was looking for. Treatment took close to a year but ultimately patient ended up phobia free and with a healthy and beautiful smile. Phillip’s only regret is that he didn’t do it earlier!





Julie came in complaining that she doesn’t like the look of her teeth, embarrassed to smile and wants better smile. Julie also stressed to us that she is on the budget and can’t afford a full mouth of porcelain restorations. Digital smile design was created and discussed with Julie. Decided to go ahead with six porcelain veneers to give Julie the smile she was looking for. Veneers were completed, a full beautiful smile was achieved and Julie was extremely happy with a final result. It is sometimes hard to achieve ultimate esthetics with six veneers but we were able to achieve it and make a patient super happy.



Peggy came to office wishing to improve her smile. Peggy was not happy with a look of her teeth and stated that she lost all the confidence in her smile. Proper examination was performed and after extensive conversation and digital smile planning decided to enhance patient smile with porcelain veneers to create better proportions and give patient the smile she was looking for. Ten veneers were placed that brightened up her smile, gave proper proportions to her smile and made Peggy look 10-15 years younger. Patient was extremely happy with a result and only regret was that she didn’t do it earlier.





Orthodontic treatment can make your teeth straighter, but it doesn’t always make your smile as attractive as you want. This patient wasn’t happy with the appearance of her teeth after her treatment. Teeth were discolored and looked worn. All her upper teeth were restored with a combination of dental crowns and veneers. This brightened her teeth and gave them more attractive shapes. She loves her stunning new smile.





J came in inquiring about improving her smile. She was not happy with the color and shape of her teeth. J also hated a black tooth that she had on the right side and was embarrassed to smile. Pictures were taken and we spoke with J about porcelain veneers. Originally, J was thinking about doing her six front teeth but after discussing the aesthetics of a smile with Dr. Marlen, J went ahead with 12 veneers on top. With the 12 veneers the team at River Edge Dental was able to improve the color and shape of J’s teeth, hide her black tooth and overall give her a beautiful smile. J is really happy with the results and now wants to do her bottom teeth next.





Patient had prior dental work he felt looked unnatural. He wanted to change virtually everything about his smile, which made him so self-conscious that he didn’t want to laugh or smile. His teeth were uneven, discolored, and small in some cases. He didn’t just want to improve the appearance of his smile: he wanted to improve his bite, too. He received full upper porcelain crowns. He loves the appearance and function of his new smile.





Anthony came in unhappy with open bite and his smile overall… Anthony had braces that didn’t fix the problem and he didn’t want to have braces again. Spoke to patient about cosmetic dentistry and instant orthodontics affect it can have. Anthony decided to have eight veneers done, top four and bottom four to fix his issue. Porcelain veneers were made and Anthony was extremely happy with a result. He wants to save some money and have more veneers made to continue his transformation.





Patient had fractured and mismatched restorations on his upper front teeth. This meant that they didn’t look as attractive as he wished. We placed six porcelain crowns to restore the appearance of his upper teeth and give him more durable restorations. He loves the way his teeth look now.





Patient had chipped teeth and didn’t like the uneven appearance of her smile. Four porcelain veneers were used to restore her damaged teeth and make her smile more attractive and healthy-looking. These veneers blend beautifully with her natural teeth. She is now very happy with the appearance of her smile.





This patient was unhappy with the shape of her teeth and the small gap between her front teeth. She had orthodontic work done, but she didn’t get the result she wanted. In order to get the shape, color, and look of the teeth that she wanted, we placed four upper veneers and also a in office one hour teeth whitening procedure. In the end, the patient was very happy with her new smile and the look of her teeth.