Tom came to see us for help with his deteriorating teeth situation. Patient’s daughter was getting married and he wanted to have a perfect smile for her special day. Tom’s teeth were extracted and implants placed and restored with full arch porcelain bridge. After all was done, patient was ready to confidently smile at his daughters wedding.
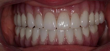
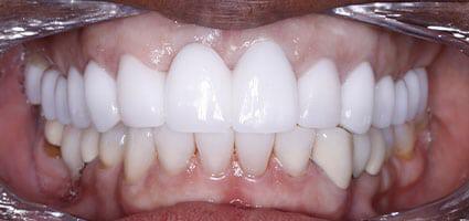
Madeline came to office with multiple failing teeth and overall not being happy with her smile. Patient states that when she smiles she only shows her front teeth and patient was interested in enhancing her smile. Comprehensive examination was performed, treatment plan fabricated that included multiple extractions, placement of dental implants and restoration of her upper teeth with subsequent improvement of her smile. Treatment was phased into implant placement and then porcelain restorations for patient function and smile. Digital smile design was created that patient approved. Upper porcelain restorations were created and attached to implants. Upon completion, patient was extremely happy that she was no longer embarrassed to smile and that we created a beautiful smile where she showed all her top teeth and ultimately improved her facial aesthetics.
J. came to office looking to improve her smile. J. told us that she doesn’t show her teeth when she smiles and she is embarrassed to take pictures. Dr. Marlen spoke to J., giving her a couple of options. She decided to improve her smile with New You Cosmetic Dentures and lower porcelain restorations to get rid of her lower removable denture. Work was performed and J. went on a cruise. Upon return J. walked into the office with large portrait pictures from the cruise trip. “You made me feel like a Diva,” were her words. J. was very happy with the results and told us that she can’t stop taking pictures of her smile and that we gave her her confidence back.
Frank has been missing teeth for some time and wanted to address it for a long time but never had time for himself. Finally he came to our office and said, I am ready… Comprehensive examination was performed, Frank was given options on different treatment and Frank chose to go ahead with porcelain coverings on his top and bottom teeth to close spaces and improve smile. Although Frank is phobic of dental treatment he mentioned that his procedures were pain free and everyone made him feel very comfortable. Smile makeover was completed and Frank is ecstatic about his new smile.
Patient came in wanting to improve her smile. Patient stated that she has a missing tooth and overall not happy with aesthetics of her smile. Spoke to patient about her options and she decided to go for front dental implant and then porcelain veneers to improve her smile. Implant was placed and then smile makeover was completed with veneer placement. Patient was thrilled with a result and now wants to do her lower teeth…
Phillip sought our help to get his teeth and smile healthy and beautiful. Phillip had a phobia of dentist and unfortunately neglected his teeth for a long time. Upon examination patient presented with multiple broken down teeth, cavities and gum disease. After extensive conversation and smile design a treatment plan was formulated that included getting patient gums healthy, removal of broken down teeth, restoring spaces with dental implants, orthodontics to get teeth straight and then porcelain veneers to give Phillip the smile he was looking for. Treatment took close to a year but ultimately patient ended up phobia free and with a healthy and beautiful smile. Phillip’s only regret is that he didn’t do it earlier!
Patient was unhappy with his unhealthy teeth. His teeth were sensitive, and they were badly decayed and worn. He had infections in his gums and in his teeth. All his infected and decayed teeth were extracted. He had dental implants placed in both arches. Then he received full implant supported dentures in both arches. Now he’s happy to be able to smile with confidence and eat with comfort.
Patient was unhappy with the state of her dentures and natural teeth. Her upper denture was loose and didn’t function well. She had few teeth retained in the lower jaw, and these weren’t functional for chewing. The teeth were decayed and affected by gum disease, which had caused significant bone loss around them. The appearance of her smile was affected by the state of the lower teeth as well as the color and appearance of her upper denture. Extracted lower teeth and placed dental implants in the lower arch. New implant dentures were made for the lower jaw. Upper denture was re-done to improve the fit and appearance. Now the patient is very happy with the appearance of her bright new smile. And she loves that she can eat and chew effectively.
Joan came to us in desperation. Joan told us that her teeth are failing and she is tired of her removable denture. She wants to have a beautiful smile. Went over different options with Joan and decided to restore her smile with dental implants and teeth that will attach to those implants. Treatment went through different phases but at no time patient was left with no teeth to function. Finally when we were done Joan couldn’t believe her eyes. We were able to give her a gorgeous smile and excellent function and ability to bite into anything she wants. That is exactly what she was looking for. Another happy smile.
Patient came to River Edge Dental looking to improve her smile. Patient stated that she wanted to brighten her teeth. An examination was performed and patient’s concerns were discussed. Through conversation patient recognized that she had a bite/space issue and in order for cosmetic work to last space needed to be created through a bite rebuilding phase. Patient agreed and work was started. Space was created and bite raised through orthotic therapy and then cosmetic work of porcelain veneers was completed to give the patient a beautiful smile and improved facial features. Patient was super happy with the results!
Patient came in looking for alternatives to her old denture. Patient was not happy with esthetics of her smile and said that her denture is holding her back from smiling. Patient also had some implants on the bottom jaw with removable denture. Spoke to Anahit about a couple of options and decided to make a NewYou cosmetic denture for her top and screw retained implant supported denture for the bottom. NewYou Cosmetic denture was made that gave patient better facial support, beautiful smile and better functioning bite. New smile made Anahit look 10-15 years younger through face lift kind bite rebuilding approach. Anahit can’t stop smiling now.
Susan came in looking to improve her smile. Susan has been missing teeth for awhile, had her natural teeth worn down from years of grinding and clenching. Susan also wanted to show less gum when she was smiling. Treatment plan was formulated that included dental implants to restore missing teeth, gum lift to show less gum, bite correction and porcelain veneers to give Susan the smile she was looking for. Treatment was completed in phases and now Susan is extremely happy with a result and can’t stop smiling. Susan has a new functional bite that gives better acial esthetics and also brand new smile with less gum showing.
Take the first and most important step toward your best smile. The sooner you begin the process of designing your ideal smile with our team, the sooner you will achieve results that you will love for years into the future. Contact us today to schedule your consultation for elite dental results at Marlen Elite Dental Wellness in New Jersey. We are conveniently located in River Edge, New Jersey, and serve patients throughout the state seeking the very best cosmetic dentistry New Jersey has to offer.
130 Kinderkamack Rd, Suite 306, River Edge, New Jersey 07661
"*" indicates required fields
© 2025 Marlen Elite Dental Wellness
All Rights Reserved | Sitemap | Privacy Policy | Accessibility
In case you’re experiencing visual impairment or any other condition that is protected under the Americans with Disabilities Act or a law akin to it, and you’re interested in discussing accommodations to enhance your experience with this website, kindly get in touch with our Accessibility Manager at (201) 880-6736.
Automated page speed optimizations for fast site performance